搏动性耳鸣
搏动性耳鸣
搏动性耳鸣表现为耳内呼呼状、嗡嗡状、咚咚状的节律性噪声,频率多与心跳、脉搏一致,严重影响日常生活。与非搏动性耳鸣经常找不到病因不同,搏动性耳鸣经全面检查后多可发现多种潜在相关异常。针对责任原因或最大权重因素治疗后,噪声可明显好转或完全消失。如何精准判定责任原因或最大权重因素是决定疗效的关键。
一、常见原因:
| 类别 | 动脉性 | 静脉性 | 肿瘤性 | 骨源性 | 系统性 |
| 动脉粥样硬化 | 特发性颅高压 | 颈静脉球瘤 | 耳硬化症 | 贫血性 | |
| 动脉瘤 | 乙状窦膨大/憩室 | 鼓室球瘤 | 半规管裂 | 甲亢性 | |
| 动脉夹层 | 高位颈静脉球憩室 | 内淋巴囊肿瘤 | 乙状窦周骨壁裂缺 | 药物毒性 | |
| 颈动脉肌纤维发育不良 | 横窦狭窄 | 海绵状血管瘤 | 高位颈静脉球周骨壁裂缺 | ||
| 异位/外位颈内动脉 | 气房内迷走静脉 | ||||
| 动静脉瘘 | 粗大导静脉 | ||||
| 动静脉畸形 |
二、诊疗技术
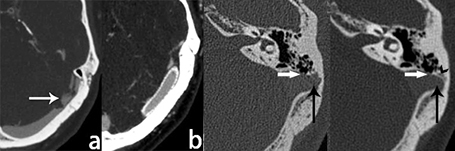
1、颞骨双期增强CT检查
本中心创建的颞骨双期增强CT检查方案,通过单次检查即可明确搏动性耳鸣的绝大多数潜在原因。基于该检查方案以及本中心对搏动性耳鸣的认知水平,将形态学潜在病因检出率由44%提升至94%;对脑卒中风险高、发病率达18%的致鸣原因-硬脑膜动静脉瘘的检出效能,由国际推荐方案的“difficult to assess”提高至灵敏度96%、特异度100%。该方案被写入我国卫生行业标准《CT检查操作规程》。
2、超高分辨率CT检查
本中心自主研制了分辨尺度达0.05毫米的(国际最高)的CT设备,对于搏动性耳鸣骨质病因的精确评估较其他高端CT设备具有显著优势,包括骨壁裂缺、半规管裂、耳硬化症等。
3、4D Flow MRI检查
本中心优化了4D Flow MRI检查的静脉窦成像方案,将致鸣因素从形态表征拓深至更根本的血流特性,包括血流速度、血流量、压力梯度、涡流等,为明确导致搏动性耳鸣的责任原因和部位提供了客观证据。该方案被纳入美国《耳鸣适用性标准》。
4、基于CT及4D Flow MRI的个体化致鸣作用模拟
本中心国际首次基于个体化真实形态及血流数据构建了多物理场数值仿真模型,可用于规划患者的个性化治疗方案,并预测治疗效果。该方案及相关结果受到国际权威专家的高度评价。

图7.(a)超高分辨率CT设备;(b)超高分辨率CT显示人体最小的骨头-镫骨;(c)高端螺旋CT显示镫骨

图8.4D flow MR显示与耳鸣相关的喷射状血流与涡流

图9.计算流体力学仿真模拟支架植入前后血流流线和切应力变化
三、治疗手段
1、骨壁重建术
骨壁重建术可用于治疗血管周围骨壁裂缺的患者。本中心是我国开展骨壁重建术起步最早的团队,手术技术成熟,行骨壁重建术的患者已知全球最多,整体有效率80%以上,且术后并发症少,无重大不良反应。

图10.骨壁重建手术前后的术中图像和CT图像
2、支架植入术
支架植入术可用于治疗横窦狭窄的患者。对于横窦狭窄的特发性颅高压患者,支架植入术不仅可消除噪声,更重要的是可以降低颅内压、改善视力、头疼症状。本中心发现对于横窦狭窄并骨壁裂缺、憩室形成的患者,仅针对横窦狭窄进行支架植入即可达到消除噪声的效果,同时部分患者憩室可因骨壁再生而消除。

图11.支架植入前后的横窦形态改变以及乙状窦憩室区骨质再生改变
3、本中心可开展的其他治疗方案
针对异位血管的血管结扎术,针对硬脑膜动静脉瘘/畸形的供血动脉栓塞术,针对富血供肿瘤的侧颅底肿瘤切除术,针对耳硬化症的人工镫骨植入术,针对动脉粥样硬化的支架植入或内膜剥脱术等。术者均为国内行业内顶尖专家,手术安全性及效果有较大保障。
四、研究方向
1、基于多源异构因素的搏动性耳鸣多因素协同致鸣机制
2、搏动性耳鸣治疗后复发机制
3、基于人工智能技术的搏动性耳鸣精准诊疗
五、阶段性成果(近五年)
1. Xu, K., Qiu, X., Dai, C. ,et al (2024).Fluid-structure interaction study on the causes of mending material damage after sigmoid sinus wall reconstruction. Computer Methods and Programs in Biomedicine,245
2. Dai, C., Zhao, P., Wang, G. ,et al (2024).Hemodynamic assessments of unilateral pulsatile tinnitus with jugular bulb wall dehiscence using 4D flow magnetic resonance imaging. Quantitative Imaging in Medicine and Surgery,14(1) 684-697
3. Liu, Y., Ding, H., Qiu, X. ,et al (2024).Progresses in imaging researches of transverse sinus stenosis. Chinese Journal of Medical Imaging Technology,40(1) 121-124
4. Dai, C., Zhao, P., Ding, H. ,et al (2023).CT evaluation of unilateral pulsatile tinnitus with jugular bulb wall dehiscence. European Radiology,33(6) 4464-4471
5. Mu, Z., Zhuang, L., Zhao, P. ,et al (...) (2023).Multiphysics Interaction Analysis of the Therapeutic Effects of the Sigmoid Sinus Wall Reconstruction in Patients with Venous Pulsatile Tinnitus. Bioengineering,10(6)
6. Ding, H., Zhao, P., Lv, H. ,et al (2023).A new method for assessing transverse sinus stenosis with CT venography based on the venous trans-stenotic pressure gradient. Journal of NeuroInterventional Surgery,15(10) 1034-1038
7. Mu, Z., Li, X., Zhao, D. ,et al (2022).Hemodynamics study on the relationship between the sigmoid sinus wall dehiscence and the blood flow pattern of the transverse sinus and sigmoid sinus junction. Journal of Biomechanics,135
8. Li, D., Wang, G., Zeng, R. ,et al (2022).Analysis of Revision Surgery Following Surgical Reconstruction of the Sigmoid Sinus Wall in Patients with Pulsatile Tinnitus. Journal of International Advanced Otology,18(4) 358-364
9. Liu, L., Mu, Z., Kang, Y. ,et al (2022).Hemodynamic mechanism of pulsatile tinnitus caused by venous diverticulum treated with coil embolization. Computer Methods and Programs in Biomedicine,215
10. Qiu, X., Zhao, P., Mu, Z. ,et al (2022).Effects of Different Degrees of Extraluminal Compression on Hemodynamics in a Prominent Transverse-Sigmoid Sinus Junction. Frontiers in Human Neuroscience,16
11. Li, X., Xu, N., Dai, C. and 9 more (...) (2022).Altered Neurovascular Coupling in Unilateral Pulsatile Tinnitus. Frontiers in Neuroscience,15
12. Li, X., Xu, N., Meng, X. ,et al (2022).Dual-phase contrast-enhanced CT evaluation of dural arteriovenous fistula in patients with pulsatile tinnitus as an initial symptom. European Journal of Radiology,148
13. Hong, Z., Liu, X., Ding, H. ,et al (2022).Flow patterns in the venous sinus of pulsatile tinnitus patients with transverse sinus stenosis and underlying vortical flow as a causative factor. Computer Methods and Programs in Biomedicine,227
14. DIng, H., Zhao, P., Lv, H. ,et al (2021).Correlation between Trans-Stenotic Blood Flow Velocity Differences and the Cerebral Venous Pressure Gradient in Transverse Sinus Stenosis: A Prospective 4-Dimensional Flow Magnetic Resonance Imaging Study. Neurosurgery,89(4) 549-556
15. Zhao, P., Jiang, C., Lv, H. ,et al (2021).Why does unilateral pulsatile tinnitus occur in patients with idiopathic intracranial hypertension?. Neuroradiology,63(2) 209-216
16. Li, X., Qiu, X., Ding, H. ,et al (2021).Effects of different morphologic abnormalities on hemodynamics in patients with venous pulsatile tinnitus: A four-dimensional flow magnetic resonance imaging study. Journal of Magnetic Resonance Imaging,53(6) 1744-1751
17. Zhao, P., Ding, H., Lv, H. ,et al (2021).CT venography correlate of transverse sinus stenosis and venous transstenotic pressure gradient in unilateral pulsatile tinnitus patients with sigmoid sinus wall anomalies. European Radiology,31(5) 2896-2902
18. Mu, Z., Liu, L., Sun, Y. ,et al (2021).Multiphysics coupling numerical simulation of flow-diverting stents in the treatment of patients with pulsatile tinnitus. International Journal for Numerical Methods in Biomedical Engineering,37(12)
19. Mu, Z., Sun, Y., Li, X. ,et al (2021).Multiphysics coupling study on the effect of blood flow pulsation in patients with pulsatile tinnitus. Biocybernetics and Biomedical Engineering,41(3) 1197-1207
20. Qiu, X.-Y., Zhao, P.-F., Ding, H.-Y. ,et al (2021).Bone remodeling in sigmoid sinus diverticulum after stenting for transverse sinus stenosis in pulsatile tinnitus: A case report. World Journal of Clinical Cases,9(10) 2320-2325
21. Li, X., Zhao, P., Qiu, X. ,et al (2021).Altered cerebral blood flow in patients with unilateral venous pulsatile tinnitus: An arterial spin labeling study. British Journal of Radiology,94(1120)
22. Qiu, X., Zhao, P., Li, X. ,et al (2021).The Relationships Among Transverse Sinus Stenosis Measured by CT Venography, Venous Trans-stenotic Pressure Gradient and Intracranial Pressure in Patients With Unilateral Venous Pulsatile Tinnitus. Frontiers in Neuroscience,15
23. Zhao, P.-F., Zeng, R., Qiu, X.-Y. ,et al (2021).Diploic vein as a newly treatable cause of pulsatile tinnitus: A case report. World Journal of Clinical Cases,9(27) 8097-8103
24. Li, X., Xu, N., Meng, X. ,et al (2021).Transverse Sinus Stenosis in Venous Pulsatile Tinnitus Patients May Lead to Brain Perfusion and White Matter Changes. Frontiers in Neuroscience,15
25. Qiu, X., Zhao, P., Li, X. ,et al (2021).Effect of Emissary Vein on Hemodynamics of the Transverse- Sigmoid Sinus Junction. Frontiers in Human Neuroscience,15
26. Mu, Z., Qiu, X., Zhao, D. ,et al (2020).Hemodynamic study on the different therapeutic effects of SSWD resurfacing surgery on patients with pulsatile tinnitus. Computer Methods and Programs in Biomedicine,190
27. Huang, S., Li, X., Xue, X. ,et al (2020).Hemodynamic study of the therapeutic effects of the different degrees of sigmoid sinus diverticulum reconstruction on patients. Medical Engineering and Physics,868-15
28. Liu, Z., He, X., Du, R. ,et al (2020).Hemodynamic Changes in the Sigmoid Sinus of Patients with Pulsatile Tinnitus Induced by Sigmoid Sinus Wall Anomalies. Otology and Neurotology,41(2) e163-e167
29. Li, X., Zhao, P., Qiu, X. ,et al (2020).Lateralization Effects on Cerebral Blood Flow in Patients With Unilateral Pulsatile Tinnitus Measured With Arterial Spin Labeling. Frontiers in Human Neuroscience,14
30. Zheng, W., Peng, Z., Pengfei, Z. ,et al (2019).Long-term reactions to pulsatile tinnitus are marked by weakened short-range functional connectivity within a brain network in the right temporal lobe. Journal of Magnetic Resonance Imaging,49(6) 1629-1637
31. Ding, H., Zhao, P., Lv, H. ,et al (2019).Temporal bone contrast-enhanced high-resolution CT evaluation of pulsatile tinnitus after sigmoid sinus wall reconstruction. Acta Radiologica,60(1) 54-60
32. Lv, H., Zhao, P., Liu, Z. ,et al (...) (2018).Lateralization effects on functional connectivity of the auditory network in patients with unilateral pulsatile tinnitus as detected by functional MRI. Progress in Neuro-Psychopharmacology and Biological Psychiatry,81228-235
33. Liu, Y., Lv, H., Zhao, P. ,et al (2018).Neuroanatomical alterations in patients with early stage of unilateral pulsatile tinnitus: A voxel-based morphometry study. Neural Plasticity,2018
34.中国医学影像技术研究会放射学分会, 北京市医学影像质量控制和改进中心. 耳鸣患者影像学检查临床适用性评价共识(2022版). 中华医学杂志, 2022, 102(27):2067-2073.
35. 仇晓妤, 赵鹏飞, 丁贺宇等. 四维血流MRI技术在静脉系统中的应用进展. 中华放射学杂志, 2022, 56(9):1035-1038.
36. 赵鹏飞, 谢静, 吴倩等. 基于10 μm级耳科专用CT的耳硬化症影像特征分析. 中华医学杂志, 2021, 101(47):3885-3889.
37. 徐宁, 赵鹏飞, 丁贺宇等. 基于CT技术的颞骨解剖及耳科疾病应用研究进展. 中华医学杂志社, 2021, 101(47):3908-3911.
38. 代驰航, 赵鹏飞, 孟续续等. 基于CT血管造影分析无搏动性耳鸣人群乙状窦憩室形成的相关因素. 中华医学杂志, 2020, 100(9):702-705.
六、受试者参与
所有年龄、性别的受试者均可到本中心进行临床诊疗,临床检查和治疗手段都是基于每一位受试者的临床症状进行个性化的选择和制定。同时,本中心也开展了多项耳鸣相关的科研项目,每项研究都有特定的纳入和排除标准。
如您希望在线咨询,也可填写下方表格,我们将会在七个工作日内回复,并告知您是否有必要来我院进一步就诊。



微博
微信


京公网安备11010202008305号